简体中文English

PRODUCT
EGFR抗体试剂
零售价格(RMB):

6561235440759

产品货号:R-0401122Ⅰ-01/R-0401122Ⅰ-02/R-0401122Ⅱ-01/R-0401122Ⅱ-02
产品型号:Ⅰ型(上机即用型)/Ⅱ型(手工即用型)
备案号:
产品简介

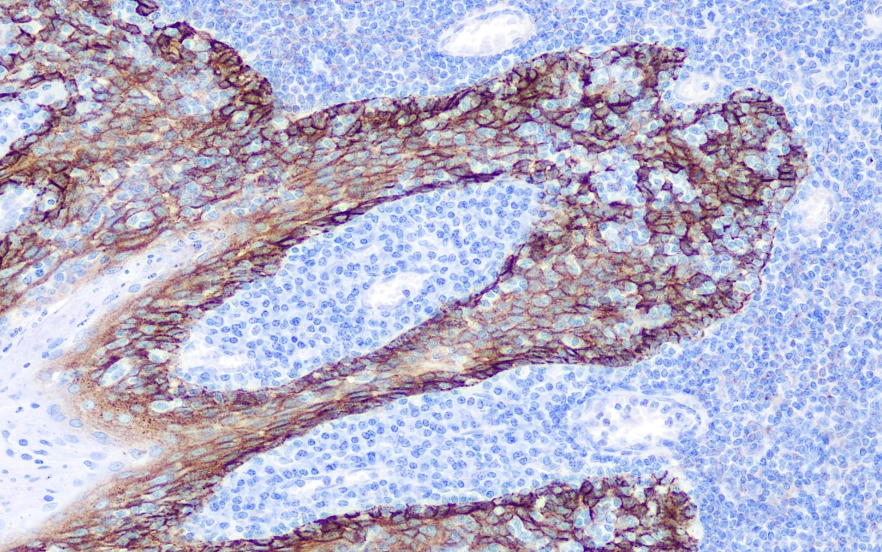
克隆号:EP220

同型:兔单克隆抗体

细胞定位:细胞质/膜

适用组织: 石蜡/冰冻

阳性对照: 扁桃体

抗体孵育时间: 30-60min

抗原修复: 热修复(EDTA)


背景资料

EGFR是一种分子量为170kD的膜蛋白。EGFR表达于多种正常组织,特别是复层上皮和鳞状上皮的基底层。EGFR过表达预示乳腺癌及胃癌预后差。并可指导治疗结直肠癌的靶向药物西妥昔单抗的应用。

临床价值

EGFR抗体试剂可与EGFR分子抗原特异性结合,含EGFR抗体试剂的免疫组化试剂盒适用于神经胶质瘤、大肠癌、乳腺癌和头颈部肿瘤的精准诊断。