简体中文English

PRODUCT
EZH2抗体试剂
零售价格(RMB) :

1615313511001870

产品货号:R-0401128Ⅰ-01/R-0401128Ⅰ-02/R-0401128Ⅱ-01/R-0401128Ⅱ-02
产品型号:Ⅰ型(上机即用型)/Ⅱ型(手工即用型)
备案号:
产品简介

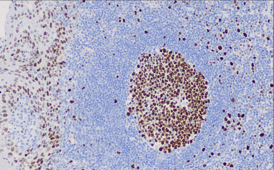
克隆号:6A10

同型:鼠单克隆抗体

细胞定位:细胞核

适用组织: 石蜡/冰冻

阳性对照: 扁桃体

抗体孵育时间: 30-60min

抗原修复: 热修复(EDTA)


背景资料

EZH2又称作ENX-1,是早期胚胎发育中所表达的一种蛋白,在胚胎发育后期限制性表达于中枢和外周神经系统及胎儿的造血系统。在某些肿瘤中有过表达现象,包括前列腺癌、乳腺癌,与肿瘤的发展和转归密切相关。

临床价值

EZH2抗体试剂可与EZH2分子抗原特异性结合,含EZH2抗体试剂的免疫组化试剂盒适用于滤泡性淋巴瘤、弥漫大B细胞淋巴瘤的精准诊断。