简体中文English

PRODUCT
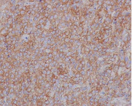
HGAL抗体试剂
零售价格(RMB):

115021667701331

产品货号:R-0401158Ⅰ-01/R-0401158Ⅰ-02/R-0401158Ⅱ-01/R-0401158Ⅱ-02
产品型号:Ⅰ型(上机即用型)/Ⅱ型(手工即用型)
备案号:
产品简介

克隆号:MRQ-49

同型:鼠单克隆抗体

细胞定位:细胞质/膜

适用组织: 石蜡切片

阳性对照: 

抗体孵育时间: 

抗原修复: 


背景资料

HGAL又名GCET2,是一种丝氨酸蛋白酶抑制剂。在正常组织表达于淋巴生发中心和肺组织。在肿瘤组织除了表达于滤泡性淋巴瘤,也表达于其它生发中心来源的淋巴瘤,如Burkitt淋巴瘤、DLBCL、霍奇金淋巴瘤等。因此,该抗体可以用于生发中心来源的B细胞淋巴瘤的研究,但在CLL、MCL、LPL中均有不同程度表达。


临床价值

HGAL抗体试剂可与HGAL分子抗原特异性结合,含HGAL抗体试剂的免疫组化试剂盒适用于滤泡性淋巴瘤、Burkitt淋巴瘤、DLBCL和霍奇金淋巴瘤等的精准诊断。