简体中文English

PRODUCT
HCG抗体试剂
零售价格(RMB) :

185332121215

产品货号:R-0401165Ⅰ-01/R-0401165Ⅰ-02/R-0401165Ⅱ-01/R-0401165Ⅱ-02
产品型号:Ⅰ型(上机即用型)/Ⅱ型(手工即用型)
备案号:
产品简介

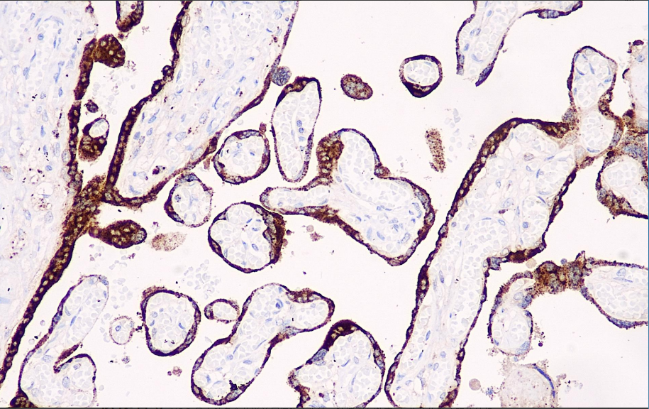
克隆号:polyclonal

同型:兔多克隆抗体

细胞定位:细胞质

适用组织: 石蜡/冰冻

阳性对照: 胎盘

抗体孵育时间: 30-60min

抗原修复: 热修复(EDTA)


背景资料

此抗体可以识别人绒毛膜促性腺激素(HCG),与促黄体生成素(LH)有轻微的交叉反应,胎盘和胎盘滋养层细胞为阳性表达,主要用于标记绒癌及检测分泌异位激素的肿瘤。

临床价值

HCG抗体试剂可与HCG分子抗原特异性结合,含HCG抗体试剂的免疫组化试剂盒适用于绒癌及分泌异位激素的肿瘤的精准诊断。