公司简介 发展历程 企业荣誉 资质认证 企业文化
常规组织病理产品系列 液基细胞病理学产品系列 特殊染色病理产品系列 免疫组织化学分子病理产品系列 荧光原位杂交(FISH)分子病理产品系列 原位 PCR+NGS 分子病理产品系列 基因突变检测产品系列 数字病理与仪器设备产品系列 病理精准诊断创新产品系列 肿瘤精准诊断产品系列 非肿瘤疑难疾病病理诊断产品系列 伴随诊断产品系列 先进病理诊断技术产品系列 流式细胞病理产品系列 电镜病理与组织芯片病理产品系列
应用场景2 应用场景1
企业动态 学术动态
人才理念 加入我们
综合服务 技术支持 下载列表
简体中文English
6741320429781
3mL(Ⅰ-01)6mL(Ⅰ-02)1.5mL(Ⅱ-01)3mL(Ⅱ-02)
克隆号:
同型:
细胞定位:细胞质
适用组织: 石蜡/冰冻
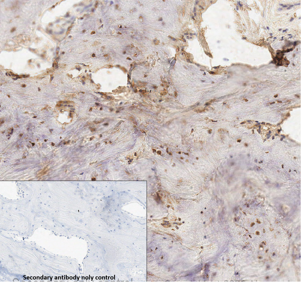
阳性对照: 乳腺癌
抗体孵育时间:
抗原修复: 热修复(柠檬酸)
TGF是一种多效生长因子,对上皮细胞增殖有潜在抑制作用,可抑制肿瘤的生长,可用于许多恶性肿瘤如:膀胱癌、肺癌、肾癌、前列腺癌、胃癌、结肠癌等的研究。
TGF抗体试剂可与TGF分子抗原特异性结合,含TGF抗体试剂的免疫组化试剂盒适用于膀胱癌、肺癌、肾癌、前列腺癌、胃癌、结肠癌等的辅助诊断。