简体中文English

PRODUCT
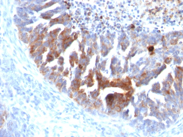
B72.3抗体试剂
零售价格(RMB):

513931330594

产品货号:R-0401017Ⅰ-01/R-0401017Ⅰ-02/R-0401017Ⅱ-01/R-0401017Ⅱ-02
产品型号:Ⅰ型(上机即用型)/Ⅱ型(手工即用型)
备案号:
产品简介

克隆号:见标签

同型:见标签

细胞定位:细胞质

适用组织: 石蜡切片

阳性对照: 肺腺癌

抗体孵育时间: 

抗原修复: 热修复(柠檬酸)


背景资料

TAG-72是一种分子量大于1,000KDa的粘液蛋白,除分泌腺上皮外,其它正常上皮一般不表达,主要用于结肠癌、胃癌、胰腺癌、卵巢癌、内膜癌和肺癌的研究。

临床价值

TAG-72抗体试剂可与TAG-72分子抗原特异性结合,含TAG-72抗体试剂的免疫组化试剂盒适用于肺癌、恶性间皮瘤、结肠癌、胃癌、胰腺癌、卵巢癌和内膜癌的精准诊断。