简体中文English

PRODUCT
BRAF V600E抗体试剂
零售价格(RMB):

116922808801353

产品货号:R-0401029Ⅰ-01/R-0401029Ⅰ-02/R-0401029Ⅱ-01/R-0401029Ⅱ-02
产品型号:Ⅰ型(上机即用型)/Ⅱ型(手工即用型)
备案号:
产品简介

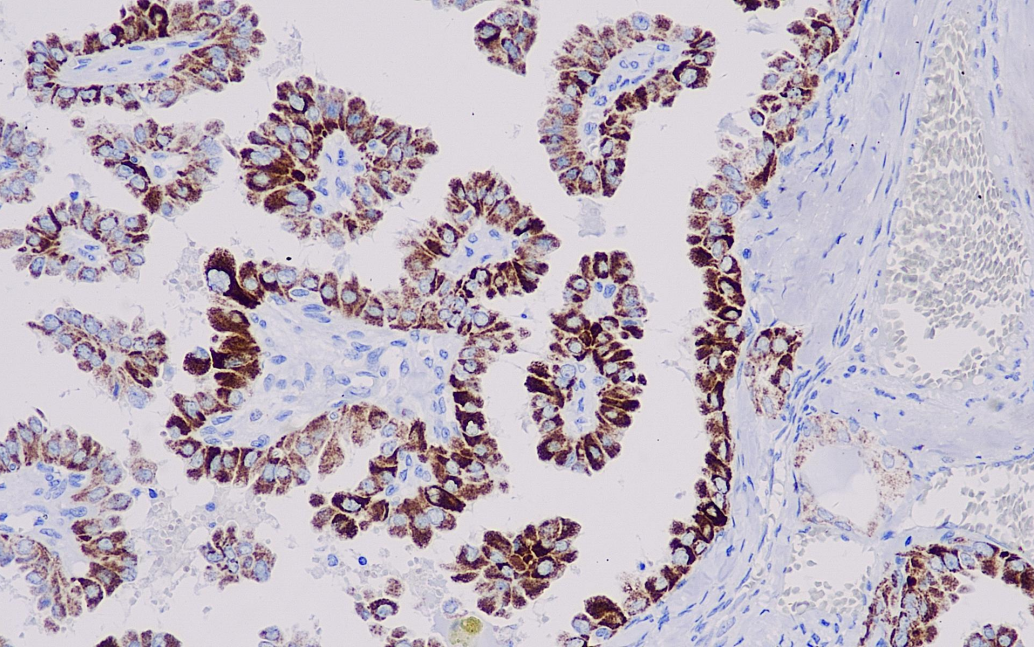
克隆号:RM8

同型:兔单克隆抗体

细胞定位:细胞质

适用组织: 石蜡/冰冻

阳性对照: 甲状腺乳头状癌

抗体孵育时间: 30-60min

抗原修复: 热修复(EDTA)


背景资料

BRAF基因是在尤文氏肉瘤中发现的。研究发现,BRAF V600E在黑色素瘤、甲状腺乳头状癌、多形性黄色星性细胞瘤、朗格汉斯组织细胞增多症、胶质瘤和结直肠癌等多种肿瘤阳性表达。目前多用于肿瘤和靶向药物的研究。



临床价值

BRAF V600E抗体试剂可与BRAF V600E分子抗原特异性结合,含BRAF V600E抗体试剂的免疫组化试剂盒适用于黑色素瘤、结直肠癌、甲状腺乳头状癌等的精准诊断。