简体中文English

PRODUCT
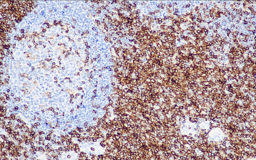
CD4抗体试剂
零售价格(RMB):

138724708801606

产品货号:R-0401046Ⅰ-01/R-0401046Ⅰ-02/R-0401046Ⅱ-01/R-0401046Ⅱ-02
产品型号:Ⅰ型(上机即用型)/Ⅱ型(手工即用型)
备案号:
产品简介

克隆号:EP204

同型:兔单克隆抗体IgG

细胞定位:细胞膜

适用组织: 石蜡/冰冻

阳性对照: 扁桃体

抗体孵育时间: 30-60min

抗原修复: 热修复(EDTA)


背景资料

CD4分子是存在于大多数辅助/诱导T细胞表面的59kD的糖蛋白。此抗体主要用于标记辅助/诱导T细胞,与CD8联合使用,对于某些疾病的诊断、疗效观察及预后有一定的意义。

临床价值

CD4抗体试剂可与CD4分子抗原特异性结合,含CD4抗体试剂的免疫组化试剂盒适用于皮肤T细胞淋巴瘤和菌样霉菌病的精准诊断。