简体中文English

PRODUCT
CD14抗体试剂
零售价格(RMB):

446865275517

产品货号:R-0401054Ⅰ-01/R-0401054Ⅰ-02/R-0401054Ⅱ-01/R-0401054Ⅱ-02
产品型号:Ⅰ型(上机即用型)/Ⅱ型(手工即用型)
备案号:
产品简介

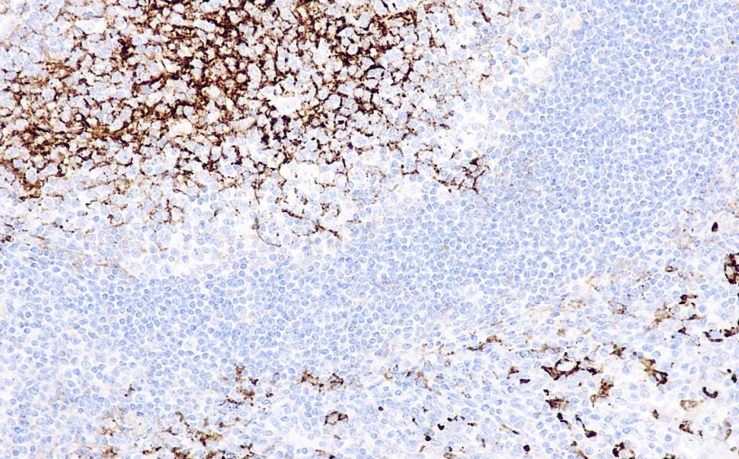
克隆号:EP128

同型:兔单克隆抗体IgG

细胞定位:细胞质/膜

适用组织: 石蜡/冰冻

阳性对照: 扁桃体/弥漫性大B细胞淋巴瘤

抗体孵育时间: 30-60min

抗原修复: 热修复(EDTA)


背景资料

CD14为55kD的糖蛋白,表达于单核细胞、巨噬细胞,弱表达于粒细胞,而不表达于干细胞和处于早期分化状态的骨髓细胞,胸腺细胞也不表达CD14。此抗体主要用于标记单核细胞,为急性髓性白血病的免疫分型诊断提供依据。

临床价值

CD14抗体试剂可与CD14分子抗原特异性结合,含CD14抗体试剂的免疫组化试剂盒适用于弥漫性大B细胞淋巴瘤以及脾边缘区淋巴瘤精准诊断。