408808286473

408808286473
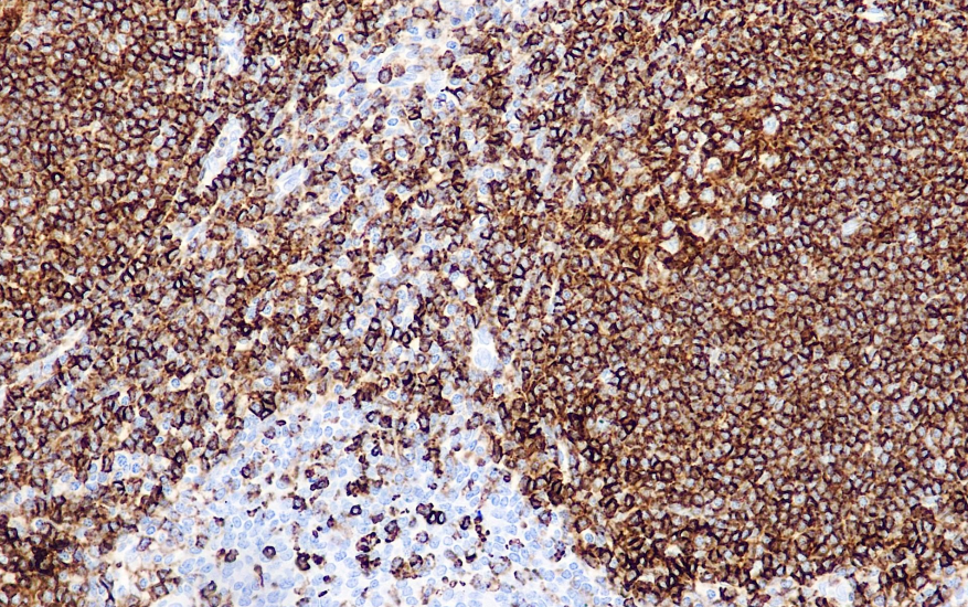
Clone number: 2B11&PD7/26
Isotype: mouse monoclonal antibody IgG1/K
Cellular localization: cell membrane
Tissue: paraffin/frozen
Positive control: tonsils
Antibody incubation time: 30-60min
Antigen repair: Heat repair (citric acid)
CD45 is a single-chain transmembrane glycoprotein with a molecular weight of 180-235 kDa.CD45 is located primarily on the surface of leukocytes, including precursor cells, mature B and T lymphocytes, granulocytes, monocytes, and follicular dendritic cells.CD45 is an important marker of hematopoietic cells, and is used primarily in the study of lymphomas, leukemias, and tumors of nonhematopoietic tissues.
CD45 Antibody Reagent binds specifically to the CD45 molecular antigen. Immunohistochemistry kits containing CD45 Antibody Reagent are indicated for the precise diagnosis of lymphomas, leukemias, and tumors of non-hematopoietic tissues.