6361216462737

6361216462737
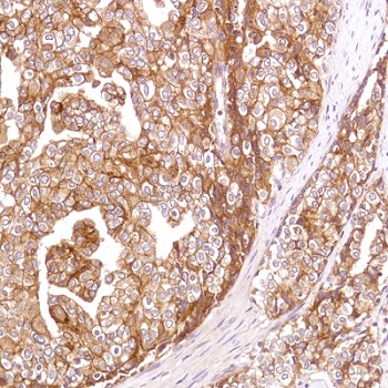
Clone number: OTI3B10
Isotype: see label
Cellular localization: cell membrane
Applicable tissues: paraffin section
Positive Control:
Antibody incubation time:
Antigen Repair:
CD 47 is an integrin-associated protein, a member of the immunoglobulin superfamily, with a molecular weight of 50 kDa. It is widely expressed in normal tissues, including erythrocytes. SIRPα on the surface of macrophages can bind to CD47 and exert immunosuppressive effects. When tumor cells highly express CD47, it can also bind to SIRPα on the surface of macrophages, thus protecting tumor cells from phagocytosis and clearance by macrophages, which is one of the mechanisms of immune escape of tumor cells.
CD47 Antibody Reagent binds specifically to CD47 molecular antigen. Immunohistochemistry kits containing CD47 Antibody Reagent are suitable for the evaluation of therapeutic targets for leukemias, lymphomas, and solid tumors.