8081568484935

8081568484935
Clone number:
Isotype:
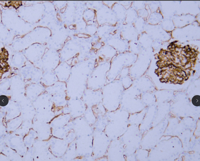
Cellular localization: cell membrane
Tissue: paraffin/frozen
Positive control: tonsils/pancreatic cancer
Antibody incubation time
Antigen repair: heat repair (citric acid)
CD54, also known as ICAM-1 (intercellular adhesion molecule-1), is an important adhesion molecule that mediates adhesion reactions. ICAM-1 is expressed at low levels on resting vascular endothelial cells (VECs) and exerts its biological activity by binding to specific receptors on the surface of VECs. As a transmembrane protein of white blood cells and endothelial cells, ICAM-1 plays an important role in stabilizing cell-to-cell interactions and promoting migration of white blood cells and endothelial cells.
CD54 Antibody Reagent binds specifically to the CD54 molecular antigen. Immunohistochemistry kits containing CD54 Antibody Reagent are suitable for typing myeloid leukemia.