5321026330616

5321026330616
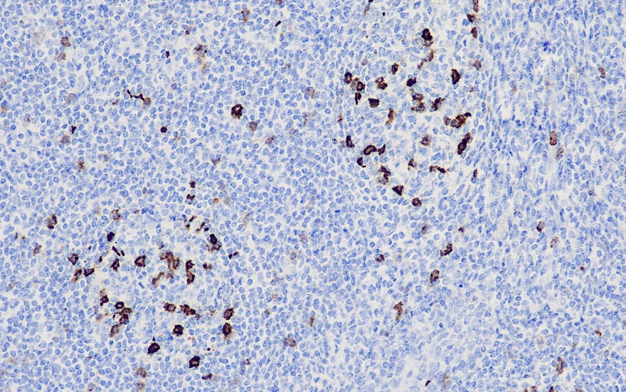
Clone number: NK-7
Isotype: mouse monoclonal antibody
Cellular localization: cell membrane
Tissue: paraffin/frozen
Positive control: tonsils
Antibody incubation time: 30-60min
Antigen repair: Heat repair (EDTA)
This antibody detects CD57 antigen on the surface of NK cells in the germinal center and also recognizes certain subclasses of T cells. It is positive in approximately 20% of cells from adult peripheral blood single nucleated cells, and can be used in studies of NK cell-mediated cytotoxicity, and the function of NK cells and T subpopulations.
CD57 Antibody Reagent binds specifically to CD57 molecular antigen. Immunohistochemistry kits containing CD57 Antibody Reagent are suitable for the precise diagnosis of neuroendocrine tumors and neurological tumors.