352674220407

352674220407
Clone number:
Isotype: mouse monoclonal antibody
Cellular localization: cytoplasm/membrane
Tissue: paraffin/frozen
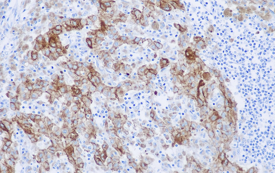
Positive control: Malignant melanoma
Antibody incubation time: 30-60min
Antigen repair: heat repair (EDTA)
CD63 antigen is widely distributed on the surface of a variety of hematopoietic and nonhematopoietic cells, including most sweat glands, pituitary gland, pancreas, and prostate, and is highly expressed on monocytes, macrophages, and activated platelets, and is weakly expressed on lymphocytes and granulocytes. cd63 antigen is expressed in the early stage of melanoma cells.
CD63 Antibody Reagent binds specifically to CD63 molecular antigen. Immunohistochemistry kits containing CD63 Antibody Reagent are indicated for the precise diagnosis of benign/malignant lesions of melanoma and eosinophilic kidney cells.