409760253473

409760253473
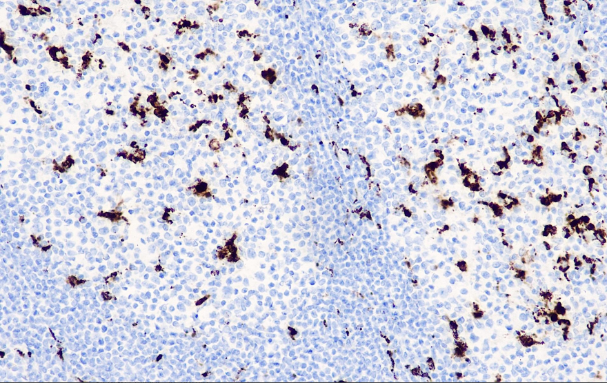
Clone number: KP10
Isotype: mouse monoclonal antibody
Cellular localization: cytoplasm
Tissue: paraffin/frozen
Positive control: tonsils
Antibody incubation time: 30-60min
Antigen repair: Heat repair (EDTA)
CD68 is a glycoprotein with a molecular weight of 110 kD that detects macrophages in human tissues, including Kupffer cells and macrophages in the spleen, intestinal lamina propria, alveoli, and bone marrow, and also labels bone marrow precursor cells and peripheral blood granulocytes and monocytes.
CD68 Antibody Reagent binds specifically to CD68 molecular antigen. Immunohistochemistry kits containing CD68 Antibody Reagent are indicated for the precise diagnosis of myelomonocytic and histiocytomas.