217421097151243

217421097151243
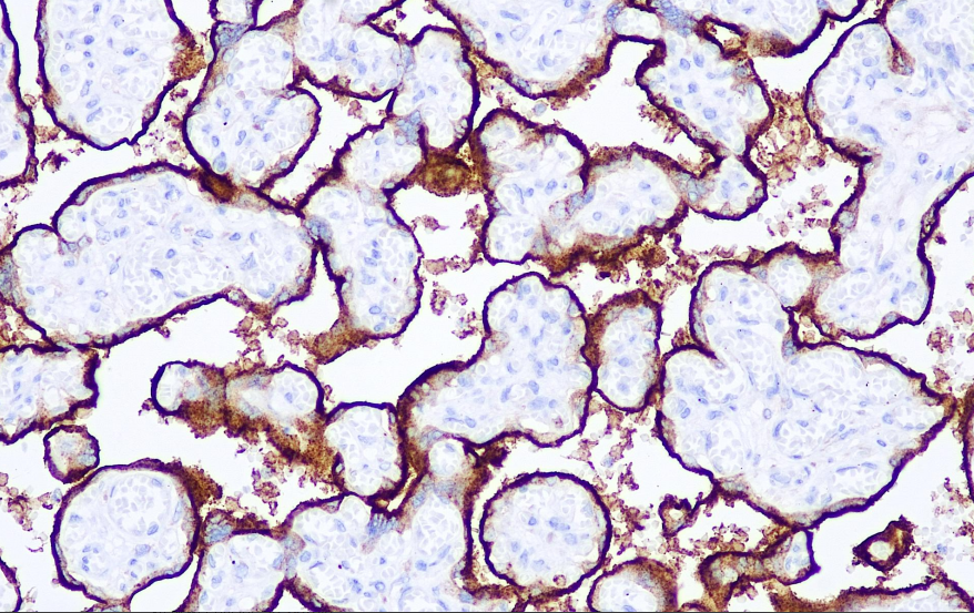
Clone number: RM384
Isotype: rabbit monoclonal antibody IgG
Cellular localization: cytoplasm/membrane
Suitable tissue: paraffin/frozen
Positive control: Placenta
Antibody incubation time: 30-60min
Antigen repair: Heat repair (EDTA)
CD71 is a transferrin receptor that is highly expressed in placental syncytiotrophoblasts, myoblasts, basal keratinocytes, hepatocytes, pancreatic endocrine cells, spermatocytes, and precursor erythrocytes, but CD71 expression is absent in mature erythrocytes. Antibody CD71 can be used to detect and evaluate precursor erythrocytes in bone marrow without interference from mature erythrocytes, and is used for bone marrow biopsy to specifically label precursor erythrocytes, which can be used in the study of erythroleukemia, benign erythropoietic disorders, and myelodysplastic syndromes.
CD71 Antibody Reagent binds specifically to CD71 molecular antigen. Immunohistochemistry kits containing CD71 Antibody Reagent are suitable for the precise diagnosis of erythroleukemia, benign erythropoietic disorders, and myelodysplastic syndromes.