380665275440

380665275440
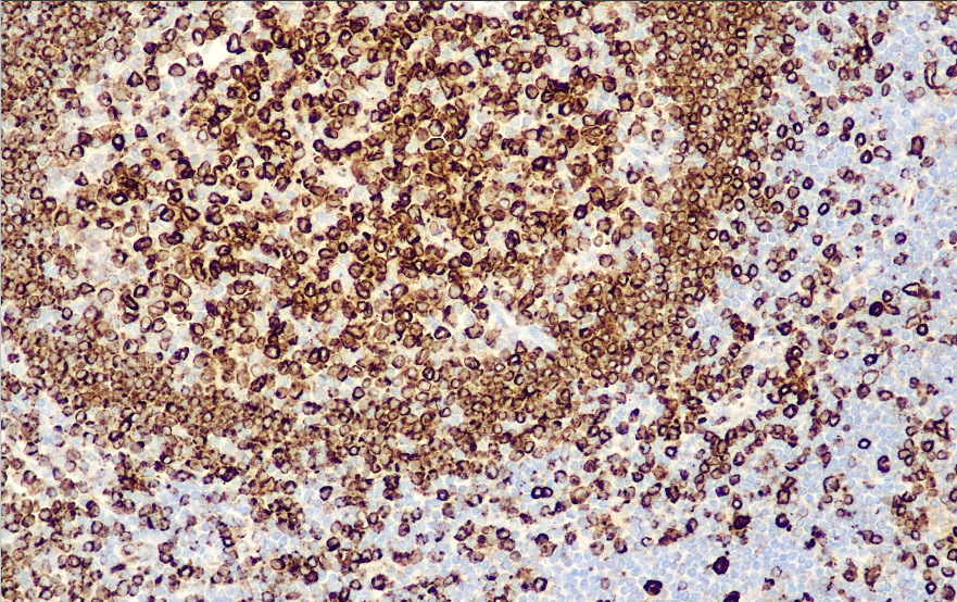
Clone number: LN2
isotype: mouse monoclonal antibody lgG1
Cellular localization: cell membrane
Tissue: paraffin/frozen
Positive control: tonsils
Antibody incubation time: 30-60min
Antigen repair: Heat repair (EDTA)
CD74 is expressed on all B-cells and certain T-cell subclasses (MHC II positive), mainly lymphocytes in germinal centers, with several isoforms (33-41 KDa), and is a constant chain of HLA-DR. This antibody is mainly used to label B cells and tumors of their origin, T cell lymphomas are rarely expressed, the staining pattern is cytosolic, but paranuclear granular staining is seen, which helps in the study of lymphomas and leukemias.
CD74 Antibody Reagent binds specifically to CD74 molecular antigen. Immunohistochemistry kits containing CD74 Antibody Reagent are suitable for the precise diagnosis of lymphoma, leukemia, atypical fibro-yellow sarcoma and malignant fibrous histiocytoma.