5791092352671

5791092352671
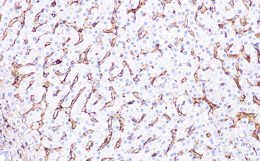
Clone number: EP8
Isotype: rabbit monoclonal antibody IgG
Cellular localization: cytoplasm/membrane
Tissue: paraffin/frozen
Positive control: Liver
Antibody incubation time: 30min
Antigen repair: Thermal repair (EDTA)
CD99 is a 32 kDa transmembrane glycoprotein encoded by the MIC2 gene, found in certain bone marrow, spleen lymph nodes, thymic cortical cells, ovarian granulosa cells, most β cells, ependymal cells of the central nervous system, testicular supporting cells, and endothelial cells. The CD99 antibody is primarily used in research on Ewing's sarcoma and primitive neuroectodermal tumors.
CD99 antibody reagents can specifically bind to the CD99 molecular antigen. Immunohistochemistry kits containing CD99 antibody reagents are suitable for the precise diagnosis of Ewing's sarcoma, primitive neuroectodermal tumors, small round cell tumors, and thymic epithelial tumors.