139725278471617

139725278471617
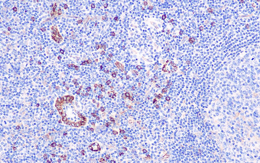
Clone number: BR4MS
Isotype: mouse monoclonal antibody
Cellular localization: cytoplasm/membrane
Tissue: paraffin/frozen
Positive Control: Tonsils
Antibody incubation time: 30-60min
Antigen repair: Heat repair (EDTA)
CD123 is the α-subunit of the human interleukin-3 receptor (IL-3Rα), a type I transmembrane glycoprotein and a member of the cytokine receptor superfamily. It forms a heterodimer with CD131 (the β-subunit of the human interleukin-3 receptor), constituting the interleukin-3 receptor. The α-subunit confers cytokine specificity, while the β-subunit mediates signal transduction. It is expressed in monocytes, neutrophils, basophils, eosinophils, megakaryocytes, erythrocyte precursors, mast cells, macrophages, and certain B-cell subsets, mediating the proliferation and differentiation of these cells. It is associated with FLT3-ITD and/or NPM1 mutations in acute myeloid leukemia. It is also expressed in non-hematopoietic tissue cells, such as testicular interstitial cells, certain endothelial cells, placenta, and brain tissue. It is highly expressed in blast-like plasma cell-like dendritic cell tumors (BPDC) and shows positive expression in plasma cell-like monocytes/plasma cell-like dendritic cells in Kikuchi lymphadenitis.
The CD123 antibody reagent specifically binds to the CD123 molecular antigen. The immunohistochemistry kit containing the CD123 antibody reagent is suitable for the precise diagnosis of myeloid plasma cell-like dendritic cell tumors.