238456143275

238456143275
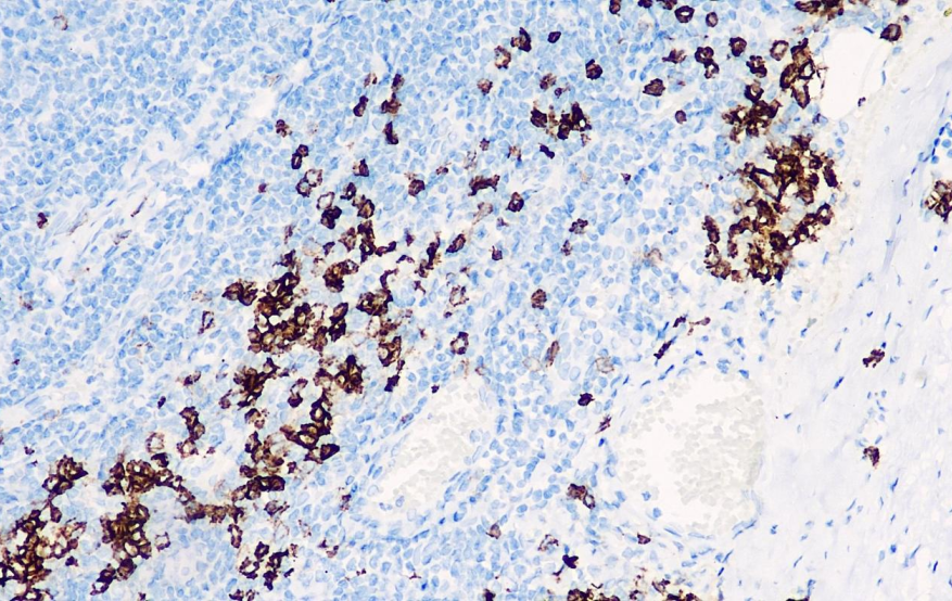
Clone number: EP201
Isotype: rabbit monoclonal antibody
Cellular localization: cell membrane
Tissue: paraffin/frozen
Positive control: tonsils
Antibody incubation time: 30-60min
Antigen repair: Heat repair (EDTA)
CD138 is expressed in normal lymphocytes at different stages of differentiation, such as pre-B cells, immature B cells, and plasma cells, as well as in epithelial cells, embryonic mesenchymal stromal cells, vascular smooth muscle cells, endothelial cells, and basal surfaces of neuronal cells.
The CD138 antibody reagent specifically binds to the CD138 molecular antigen. The immunohistochemistry kit containing the CD138 antibody reagent is suitable for the precise diagnosis of lymphoplasmacytic lymphoma (+), marginal zone lymphoma (-), and multiple myeloma.