95017106601100

95017106601100
Clone number:
Homozygous:
Cellular localization: cell membrane
Adaptive tissue: paraffin/frozen
Positive control: skin squamous cell carcinoma/kidney/placenta
Antibody incubation time
Antigen repair/heat repair (citric acid)
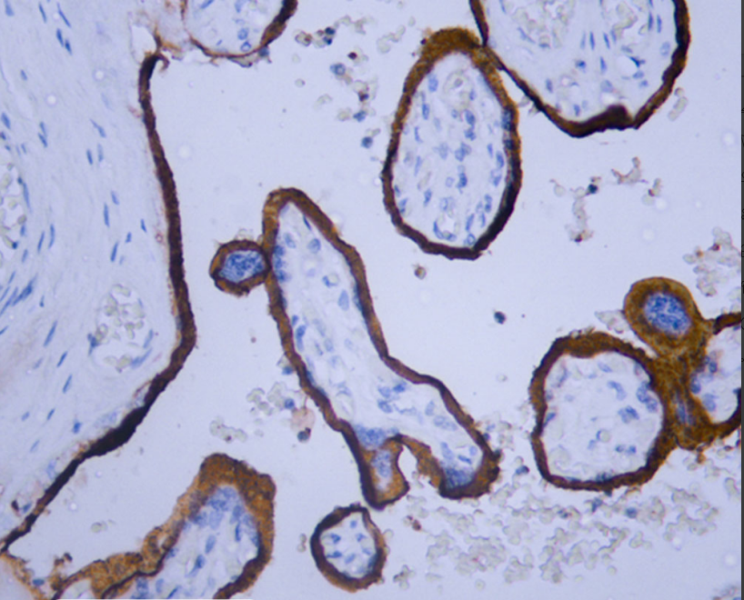
Thrombomodulin CD141 is an endothelial cell transmembrane protein. The protein is widely distributed in vascular and lymphatic endothelial cells, mesothelial cells, synoviocytes, syncytiotrophoblasts, megakaryocytes and platelets.
The CD141 antibody reagent specifically binds to the CD141 molecular antigen. The immunohistochemistry kit containing the CD141 antibody reagent is suitable for the precise diagnosis of vascular tumors, mesothelioma, and lung adenocarcinoma.