7791520473902

7791520473902
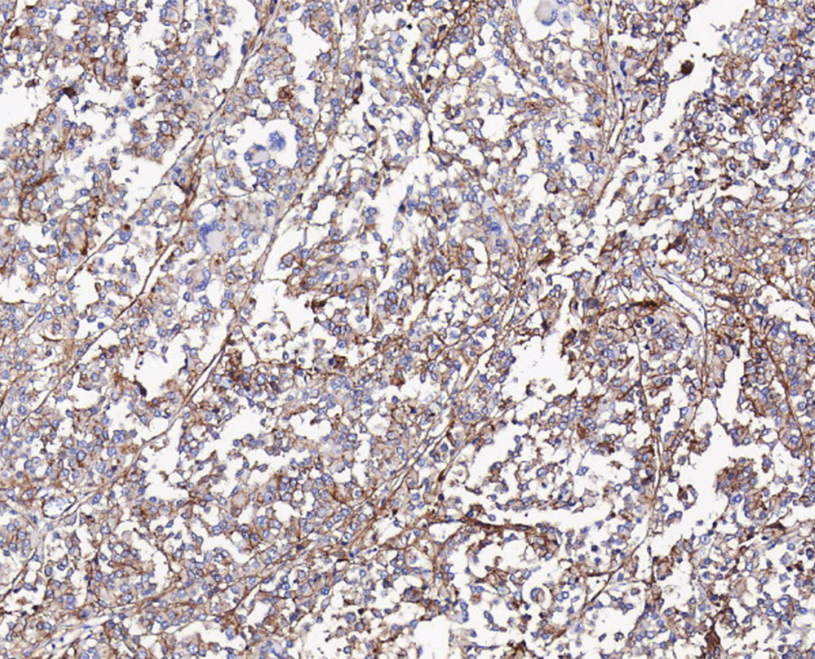
Clone number: UMAB155
Isotype: Mouse Monoclonal Antibodies
Cellular localization: cell membrane
Tissue: paraffin/frozen
Positive control: Placenta/Mesothelioma
Antibody Incubation Time: 1 hour
Antigen repair: heat repair (citric acid)
CD146, a recently discovered member of the immunoglobulin family, has an important role in regulating a variety of biological features of melanoma.CD146, although it does not affect tumor cell proliferation in vitro, enhances invasiveness, motility, metastasis, adherence, and tumorigenicity of tumor cells in vitro in nude mice as well as increases intratumoral vascular density, thereby promoting melanoma development and progression.
The CD146 antibody reagent specifically binds to the CD146 molecular antigen. The immunohistochemistry kit containing the CD146 antibody reagent is suitable for the precise diagnosis of malignant melanoma, angiosarcoma, and circulating tumor cells.