428827275495

428827275495
Clone number: EP25
Isotype: rabbit monoclonal antibody IgG
Cellular localization: nucleus
Tissue: paraffin/frozen
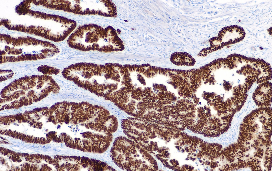
Positive control: Colorectal cancer
Antibody incubation time: 30-60min
Antigen repair: Heat repair (EDTA)
CDX2, a protein composed of 311 amino acids, is an intestinal-specific transcription factor that regulates the proliferation and differentiation of intestinal epithelial cells, and plays a role in the maintenance of the normal morphology and function of intestinal epithelial cells. CDX2-positive expression is detected in about 95% of invasive colorectal cancers, and it is mainly used for oncological research.
The CDX-2 antibody reagent specifically binds to the CDX-2 molecular antigen. The immunohistochemistry kit containing the CDX-2 antibody reagent is suitable for the auxiliary diagnosis of colorectal cancer and gastrointestinal metastatic adenocarcinoma.