428836264495

428836264495
Clone number: polyclonal
isotype: rabbit polyclonal antibody
Cellular localization: cytoplasm
Tissue: paraffin/frozen
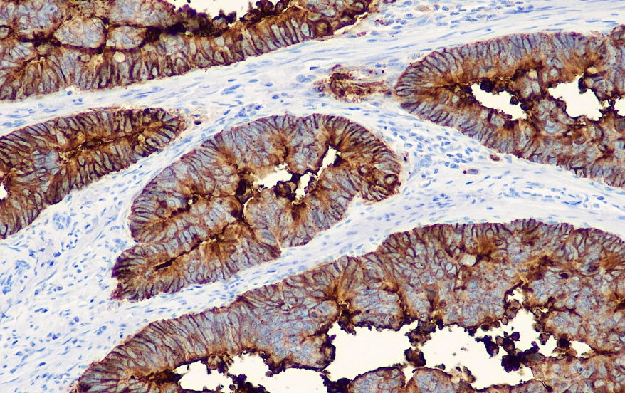
Positive control: Colorectal cancer
Antibody incubation time: 30-60min
Antigen repair: Heat repair (EDTA)
Carcinoembryonic antigen is present in certain malignant tumor tissues, such as colon, lung, gastric and pancreatic cancers. This antibody specifically recognizes 180 kD carcinoembryonic antigen that is expressed in a restricted manner in the GI tract, and is primarily used to label epithelial tumors, especially adenocarcinomas of glandular epithelial origin, and is strongly positively expressed in gastrointestinal adenocarcinomas.
CEA antibody reagents can specifically bind to CEA molecular antigens. Immunohistochemistry kits containing CEA antibody reagents are suitable for the precise diagnosis of adenocarcinoma and epithelioid malignant mesothelioma.