332656209385

332656209385
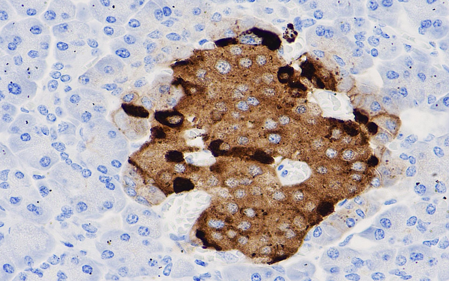
Clone number: LK2H10
Isotype: mouse monoclonal antibody
Cellular localization: cytoplasm
Tissue: paraffin/frozen
Positive control: Pancreas
Antibody incubation time: 30-60min
Antigen repair: Heat repair (EDTA)
Chromophore A is a widely distributed, soluble acidic protein with a molecular weight of 76-120 kD. It is not only present in the secretory granules of neuroendocrine cells, but also distributed in all endocrine cells containing granules and tumor cells of neuroendocrine cell origin. It is mainly used to label neuroendocrine cells and tumors of their origin, and is positively expressed in medullary thyroid carcinoma.
Chromogranin antibody reagents can specifically bind to Chromogranin molecular antigens. Immunohistochemistry kits containing Chromogranin antibody reagents are suitable for the precise diagnosis of chromocytoma, carcinoid tumors, small cell lung cancer, pituitary adenomas, and prolactinomas.