1615304010451870

1615304010451870
Clone number:
Isotype:
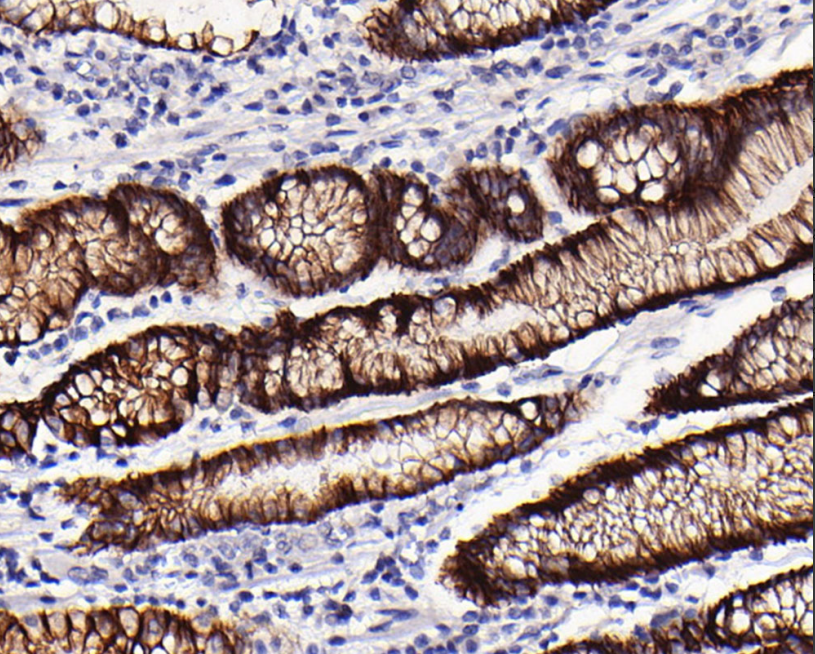
Cellular localization: cytoplasm/membrane
Adaptive tissue: paraffin/frozen
Positive Control: Stomach/gastric adenocarcinoma/colon
Antibody incubation time
Antigen repair: heat repair (citric acid)
Claudin-18 is a tight junction protein encoded by the human CLDN18 gene and is a member of the Claudins family.Claudin-18 is specifically expressed in lung and gastric tissues with intact membrane localization on lung and gastric epithelial cells, and electron microscopy shows that it is predominantly localized on the cell-cell boundaries of these cells. These features suggest a potentially important role for Claudin-18 in the structure and function of the tight junctions of lung and stomach.
Claudin-18 antibody reagents can specifically bind to Claudin-18 molecular antigens. Immunohistochemistry kits containing Claudin-18 antibody reagents are suitable for the precise diagnosis of gastric cancer.