2755532018703190

2755532018703190
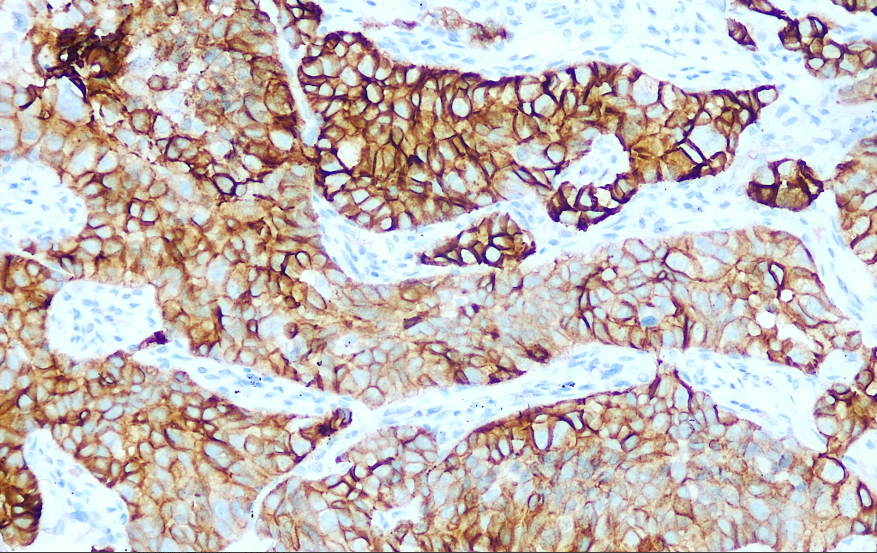
Clone number: polyclonal
isotype: rabbit monoclonal antibody
Cellular localization: cytoplasm/membrane
Tissue: paraffin/frozen
Positive control: Non-small cell lung cancer
Antibody incubation time: 16min
Antigen repair: Thermal repair (Tris-EDTA)
Hepatocyte growth factor receptor (C-MET) is a tyrosine kinase receptor located on chromosome 7q21–31. It is expressed in epithelial cells of many organs, including lung cancer, liver cancer, breast cancer, and gastric cancer. Under normal conditions, the activation level of the C-MET signaling pathway is tightly regulated by the body after binding with hepatocyte growth factor (HGF). However, its abnormal activation can promote the occurrence and development of various types of tumors. Research indicates that C-MET serves as a critical therapeutic target for cancer treatment, with drugs such as C-MET monoclonal antibodies, HGF/C-MET antagonists, and C-MET small-molecule tyrosine kinase inhibitors providing more effective and diverse treatment options for clinical cancer therapy.
C-MET antibody reagents can specifically bind to C-MET molecular antigens. Immunohistochemistry kits containing C-MET antibody reagents are suitable for detecting c-MET protein overexpression or abnormal activation.