
Clone Number: 8B1.2,1G5.2&2D4.2
Isotype: mouse monoclonal antibody IgG2a
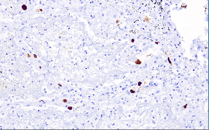
Cellular localization: nucleus
Tissue: paraffin/frozen
Positive control: cytomegalovirus infected tissue
Antibody incubation time: 30-60min
Antigen repair: Heat repair (EDTA)
CMV antibodies are a cocktail mixture of two mouse monoclonal antibodies that can bind to two different antigenic epitopes. The DDG9 antibody recognizes a 76 kDa protein produced by CMV. The CCH2 antibody recognizes the early DNA-binding protein P52 and does not cross-react with other herpesviruses or adenoviruses. CMV infection typically occurs in immunocompromised patients, with primary infections occurring in the gastrointestinal tract, lungs, heart, liver, and other organs.
CMV antibody reagents can specifically bind to CMV molecular antigens. Immunohistochemistry kits containing CMV antibody reagents are suitable for the precise diagnosis of cytomegalovirus infection.