7891463539913

7891463539913
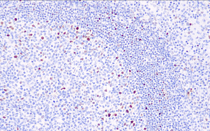
Clone number: EP121
Isotype: rabbit monoclonal antibody
Cellular localization: nucleus
Tissue: paraffin/frozen
Positive control: tonsils/lung adenocarcinoma
Antibody incubation time: 30-60min
Antigen repair: Heat repair (EDTA)
The c-Myc gene is an oncogene expressed in various cell types and is closely associated with the cell cycle. Studies have shown that 3% to 16% of diffuse large B-cell lymphoma and nearly 100% of Burkitt lymphoma exhibit MYC gene rearrangements. Immunohistochemical detection of MYC nuclear protein demonstrates high specificity and sensitivity in high-grade diffuse large B-cell lymphoma and Burkitt lymphoma. When used in combination with antibodies against CD10, BCL2, and Ki-67, the results show high consistency with FISH testing.
The c-Myc antibody reagent specifically binds to the c-Myc molecular antigen. The immunohistochemistry kit containing the c-Myc antibody reagent is suitable for the precise diagnosis of Burkitt lymphoma, neuroblastoma, and breast cancer.