128223287591485

128223287591485
Clone number:
Homozygous:
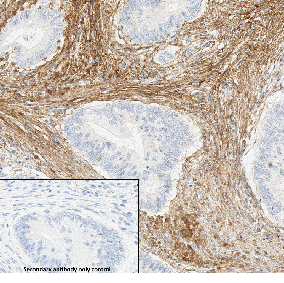
Cellular localization: cytoplasmic
Adaptive tissue: paraffin/frozen
Positive control: kidney/lung/colon cancer
Antibody incubation time
Antigen repair/heat repair (citric acid)
Collagen is the major structural protein in the extracellular space of various connective tissues. As a major component of connective tissues, collagen is the most abundantly expressed protein in mammals, mainly in fibrous tissues such as tendons, ligaments and skin. Collagen-related disorders are usually caused by genetic defects or nutritional deficiencies.
Collagen (pan) antibody reagents can specifically bind to Collagen (pan) molecular antigens. Immunohistochemistry kits containing Collagen (pan) antibody reagents are suitable for the precise diagnosis of cirrhosis, pulmonary fibrosis, and sarcoma.