128223277591485

128223277591485
Clone number:
Homozygous:
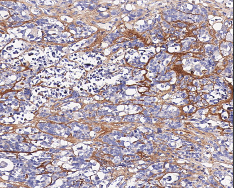
Cellular localization: cytoplasmic
Adaptive tissue: paraffin/frozen
Positive control: cartilage/chondrosarcoma
Antibody Incubation Time:
Antigen repair/heat repair (citric acid)
Type II collagen is a structural protein in the cartilage matrix that does not cross-react with types I, III, IV, V and VI collagen, as well as other human serum proteins or non-collagenous extracellular-associated proteins. It is mainly used for the study of type II collagen distribution.
Collagen II antibody reagents can specifically bind to Collagen II molecular antigens. Immunohistochemistry kits containing Collagen II antibody reagents are suitable for the precise diagnosis of benign and malignant tumors.