409788264473

409788264473
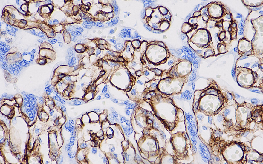
Clone number: CIV22
Isotype: mouse monoclonal antibody IgG1
Cellular localization: basement membrane
Tissue: paraffin/frozen
Positive Control: Placenta
Antibody incubation time: 30-60min
Antigen repair: Heat repair (EDTA)
Type IV collagen is a major component of the basement membrane. This antibody specifically recognizes type IV collagen in others and stains the basement membranes of a variety of tissues and organs, including the basement membranes of the skin, kidney, muscle, spleen, lymph nodes, placenta, and lungs. However, the basement membranes of the corneal epithelium are negative, and this antibody is mainly used to study the alterations of the basement membranes in various tumors.
Collagen Type IV antibody reagents can specifically bind to Collagen Type IV molecular antigens. Immunohistochemistry kits containing Collagen Type IV antibody reagents are suitable for the precise diagnosis of vascular endothelial cell tumors, angiosarcomas, and vascular endothelial tumors, which are vascular-derived tumors.