351665220407

351665220407
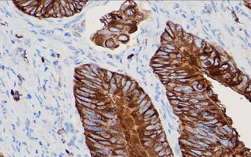
Clone number: SP21
Isotype: rabbit monoclonal antibody IgG
Cellular localization: cytoplasm/membrane
Tissue: paraffin/frozen
Positive control: Colorectal cancer
Antibody incubation time: 60min
Antigen repair: Heat repair (EDTA)
In the synthesis of prostaglandins, thromboxanes, and cyclooxygenides, cyclooxygenase-2 (COX-2) catalyzes the conversion of arachidonic acid into prostaglandin H2. The activity of COX-2 is inhibited by nonsteroidal anti-inflammatory drugs (NSAIDs), thereby reducing angiogenesis and tumor progression and promoting apoptosis. COX-2 is an inducible enzyme, and its expression can be upregulated by various factors such as endotoxins, infectious agents, and growth factors. Studies have shown that in head and neck squamous cell carcinoma, COX-2 overexpression increases microvascular density, and combined with VEGF expression, this indicates poor prognosis. Additionally, COX-2 overexpression in colorectal cancer, breast cancer, pancreatic cancer, and lung adenocarcinoma is also a marker of poor prognosis.
COX-2 antibody reagents can specifically bind to COX-2 molecular antigens. Immunohistochemistry kits containing COX-2 antibody reagents are suitable for the precise diagnosis of colon cancer, breast cancer, pancreatic cancer, lung adenocarcinoma, and squamous cell carcinoma of the head and neck.