5601064341649

5601064341649
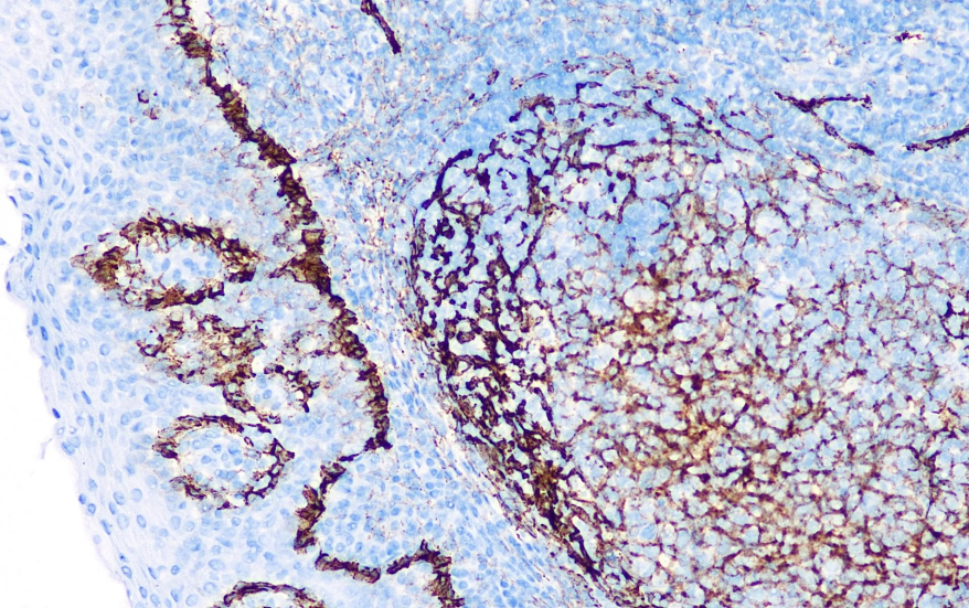
Clone number: D2-40
Isotype: mouse monoclonal antibody
Cellular localization: cytoplasm/membrane
Tissue: paraffin/frozen
Positive control: tonsils/seminomas
Antibody incubation time: 30-60min
Antigen repair: Heat repair (EDTA)
This antibody recognizes a glycoprotein with a molecular weight of 40 kD present in embryonic testes and testicular germ cell tumors, and also reacts with the endothelium of lymphatic vessels, but not vascular endothelium, and can be used to label the endothelium of lymphatic vessels in tumor tissues, which can help to determine whether infiltration and metastasis of lymphatic tracts occurs in tumor tissues.
The D2-40 antibody reagent specifically binds to the D2-40 molecular antigen. The immunohistochemistry kit containing the D2-40 antibody reagent is suitable for the precise diagnosis of lymphatic endothelial cell-derived tumors, malignant mesothelioma, and adenocarcinoma.