7321406462847

7321406462847
Clone number: OTI1C6
Isotype: rabbit monoclonal antibody
Cellular localization: cell membrane
Tissue: paraffin/frozen
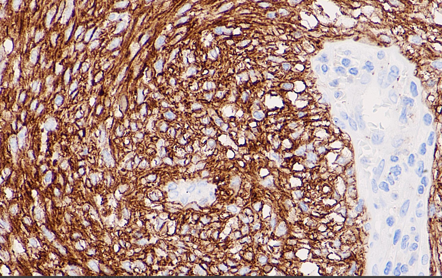
Positive control: Gastrointestinal mesenchymal tumor
Antibody incubation time: 30-60min
Antigen repair: Heat repair (EDTA)
The Dog1 gene is located on chromosome 11q13.Preliminary studies have confirmed that Dog1 protein is selectively expressed in gastrointestinal mesenchymal tumors and is a more sensitive and specific marker for GIST compared to KIT/CD117, both for gastrointestinal mesenchymal tumors with mutations in the KIT gene and the PDGFRA gene.
DOG1 antibody reagents can specifically bind to DOG1 molecular antigens. Immunohistochemistry kits containing DOG1 antibody reagents are suitable for the precise diagnosis of gastrointestinal stromal tumors.