7691472561891

7691472561891
Clone number: JRMR-105
isotype: rabbit monoclonal antibody
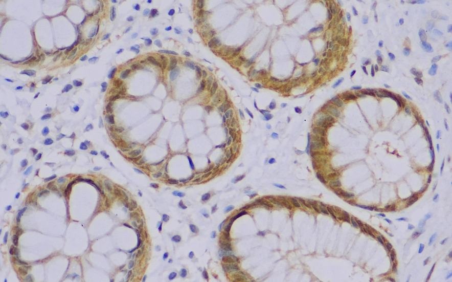
Cellular localization: nucleus/plasmid
Tissue: paraffin/frozen
Positive control: Large intestine
Antibody incubation time: 30-60min
Antigen repair: Heat repair (EDTA)
The DPC4 gene, also known as the SMAD4 gene, is located on chromosome 18q21.1 and is a tumor suppressor gene. It is a member of the Smad family of signal transduction molecules, which are important components of intracellular signaling pathways. These molecules transmit TGF-β signals from the cell surface to the cell nucleus. Dysfunction or reduced expression of DPC4 may impair TGF-β signaling and contribute to tumor formation. Research has shown that nearly 50% of pancreatic ductal adenocarcinomas exhibit mutations or deletions in this gene, with DPC4 expression loss commonly occurring in advanced stages of tumor progression. Additionally, mutations or deletions in DPC4 have been observed in various other tumors, including acute myeloid leukemia, ovarian cancer, colorectal cancer, and breast cancer.
The DPC4/Smad4 antibody reagent specifically binds to the DPC4/Smad4 molecular antigen. The immunohistochemistry kit containing the DPC4/Smad4 antibody reagent is suitable for the precise diagnosis of pancreatic ductal adenocarcinoma.