437845264506

437845264506
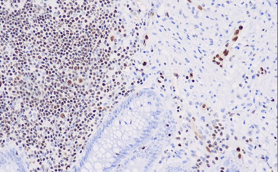
Clone number: G146-22
Isotype: mouse monoclonal antibody
Cellular localization: nucleus
Tissue: paraffin/frozen
Positive control: appendix
Antibody incubation time: 30-60min
Antigen repair: Heat repair (EDTA)
The FLI-1 gene and FLI-1 protein are recognized for their important role in the pathogenesis of Ewing sarcoma/peripheral neuroblastoma (ES/PNET). FLI-1 was initially applied to the study of Ewing sarcoma/peripheral primitive neuroectodermal tumors, demonstrating superior specificity and sensitivity compared to CD99. Recent studies have confirmed that the FLI-1 gene also plays an important role in the embryonic development of blood vessels, with expression observed in endothelial cells of various types of human vascular structures (arteries, veins, and lymphatic vessels), achieving a positivity rate of up to 90% in angiosarcomas; it is also expressed in lymphoblastic lymphoma. This antibody is now recommended for use in combination with CD99 to identify Ewing's sarcoma/peripheral neuroectodermal tumor (ES/PNET); it is also used in the study of vascular endothelial tumors, particularly in distinguishing between epithelial-like vascular endothelial tumors and epithelial tumors.
FLI-1 antibody reagents can specifically bind to FLI-1 molecular antigens. Immunohistochemistry kits containing FLI-1 antibody reagents are suitable for the precise diagnosis of Ewing's sarcoma/peripheral primitive neuroectodermal tumors.