95017105721100

95017105721100
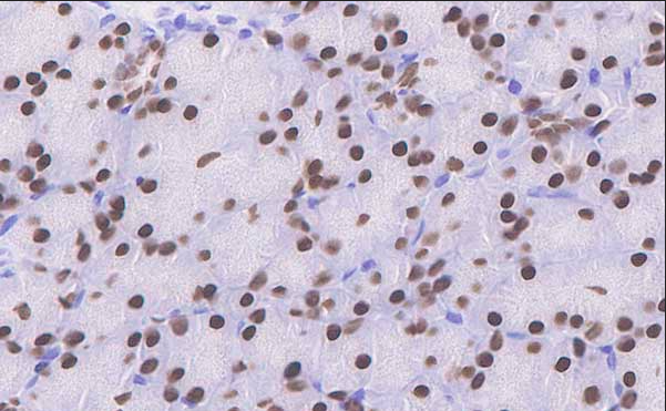
Clone number: EP277
Isotype: Rabbit Monoclonal Antibodies
Cellular localization: nucleus
Tissue: paraffin/frozen
Positive control: Ductal invasive carcinoma of breast
Antibody incubation time
Antigen repair/heat repair (citric acid)
FOX A1, also known as hepatocyte nuclear factor 3α (HNF3α), is a transcription factor expressed in normal breast ductal epithelium, as well as in epithelium of the lung, pancreas, bladder, prostate, and colon. FOX A1 has been reported to be co-expressed with ER in breast cancers, especially ductal A breast cancers (83%, including those with ER+/PR+/HER2+ cases), and in 42-45% of breast invasive carcinoma cases, while 86% of basal-like triple-negative breast cancers are negatively expressed. Thus, FOX A1 may be a useful indicator for breast cancer staging.
FOXA1 antibody reagents can specifically bind to FOXA1 molecular antigens. Immunohistochemistry kits containing FOXA1 antibody reagents are suitable for the classification and prognosis assessment of hormone receptor-positive tumors (such as breast cancer and prostate cancer).