114019007921320

114019007921320
Clone number:
Isotype:
Cellular Localization:
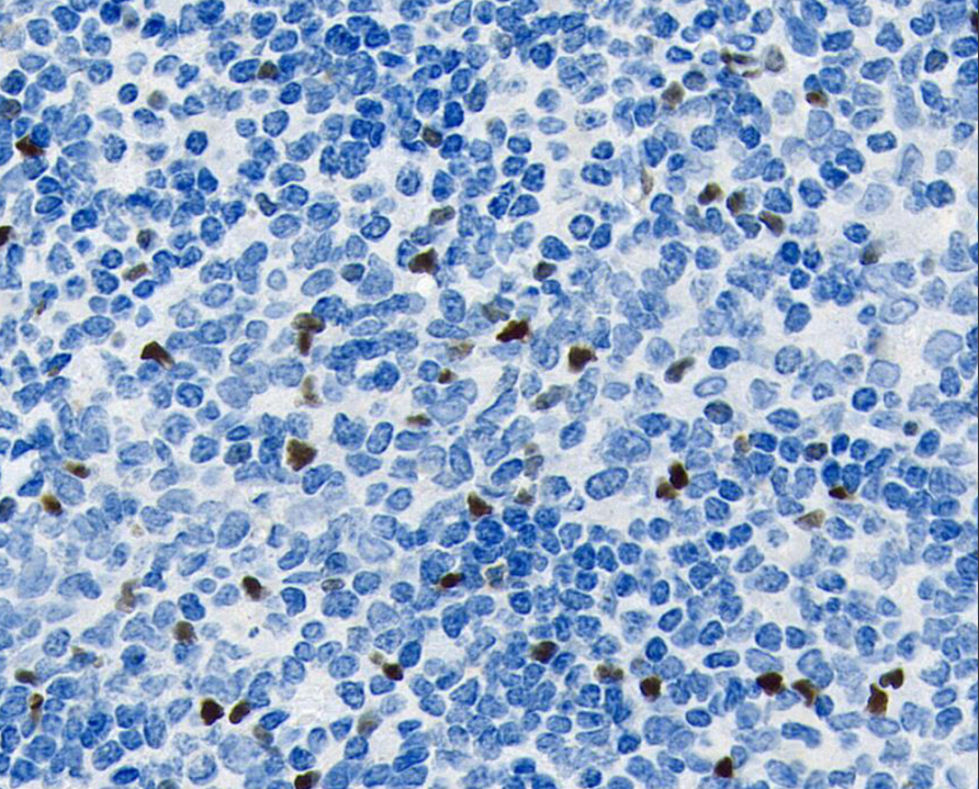
Adaptive tissue: paraffin section
Positive Control:
Antibody Incubation Time:
Antigen Repair:
FOXP3 (Forkhead box protein 3), a member of the FOX family of transcription factors, is a major regulator of regulatory T-cell development and function, and its deletion or mutation leads to immune cell dysfunction, causing many autoimmune diseases. It is a specific marker for natural T regulatory cells (nTregs) and adaptive/induced T regulatory cells (a/iTregs).FOXP3 is highly to moderately expressed in the appendix, bone marrow, tonsils, spleen, and lymph nodes; it is also expressed in the normal mammary, prostate, and ovarian epithelium, and is down-regulated in the corresponding tumor tissues; however, it is expressed in melanomas, pancreatic adenocarcinomas, leukemias, melanoma, pancreatic adenocarcinoma, leukemia, bladder cancer and cervical cancer.
FOXP3 antibody reagents can specifically bind to FOXP3 molecular antigens. Immunohistochemistry kits containing FOXP3 antibody reagents are suitable for the accurate diagnosis of autoimmune diseases (such as IPEX syndrome).