190342121220

190342121220
Clone number: polyclonal
isotype: rabbit polyclonal antibody
Cellular localization: cytoplasm
Tissue: paraffin/frozen
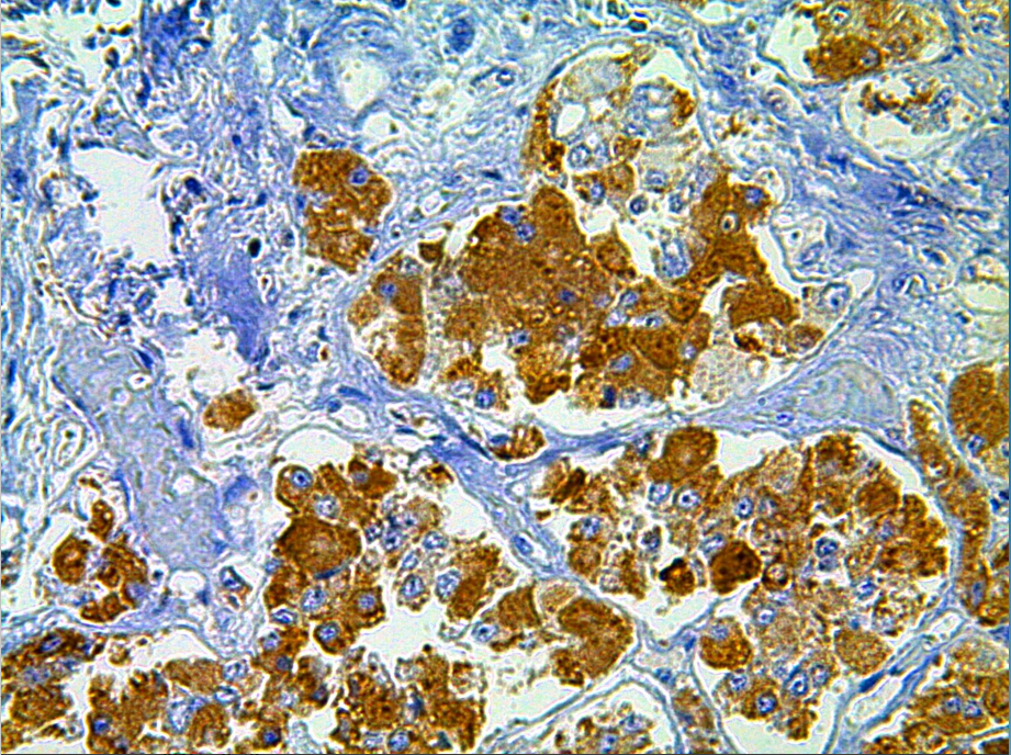
Positive control: Pituitary gland
Antibody incubation time: 30-60min
Antigen repair: Heat repair (citric acid)
Follicle-stimulating hormone is a hormone secreted by the pituitary gland. In women, it promotes the development and maturation of follicles; in men, it promotes sperm production. This antibody reacts with human FSH and is mainly used in research on the functional classification of pituitary adenomas.
FSH antibody reagents can specifically bind to FSH molecular antigens. Immunohistochemistry kits containing FSH antibody reagents are suitable for the auxiliary diagnosis of autoimmune hypophysitis or reproductive endocrine disorders.