6751282440781

6751282440781
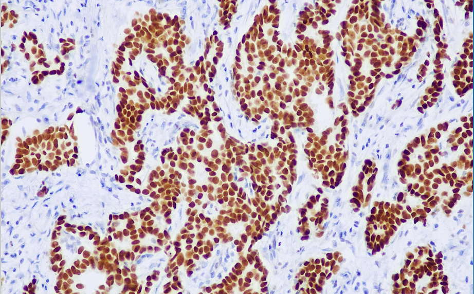
Clone number: EP368
Isotype: rabbit monoclonal antibody
Cellular localization: nucleus
Tissue: paraffin/frozen
Positive control: Breast cancer/Urinary tract epithelial cancer
Antibody incubation time: 30-60min
Antigen repair: heat repair (EDTA)
GATA3 is a zinc finger transcription factor that participates in the activation, guidance, and regulation of cell proliferation, growth, and differentiation in many tissues. However, in tumor tissues, GATA3 is exclusively expressed primarily in breast cancer and urothelial carcinoma. It has been reported that GATA3 expression in breast cancer is associated with ER, PR, and Her2; in urothelial carcinoma, its expression is positively correlated with tumor invasiveness and grade.
GATA3 antibody reagents can specifically bind to GATA3 molecular antigens. Immunohistochemistry kits containing GATA3 antibody reagents are suitable for the precise diagnosis of breast cancer, urothelial carcinoma, and T-cell lymphoma.