6461235418748

6461235418748
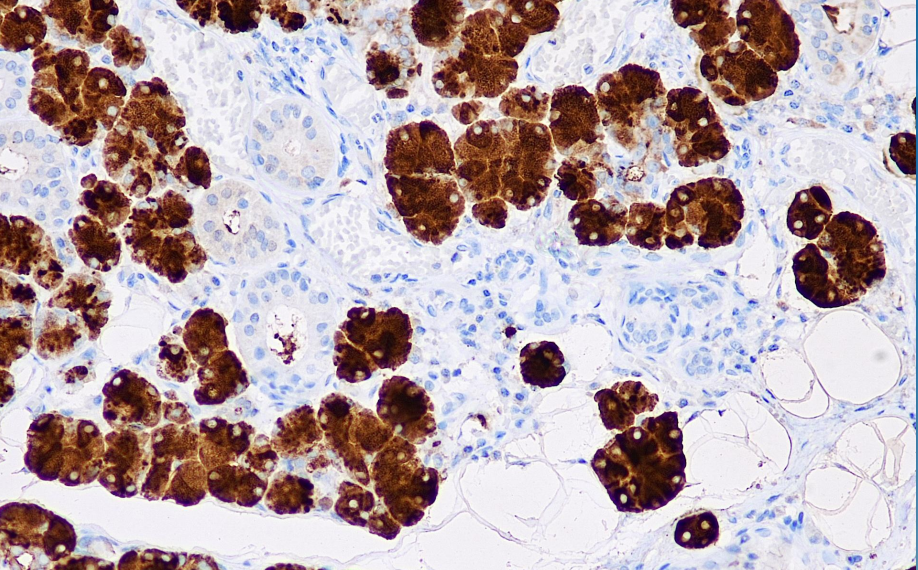
Clone number: OTI4G4
Isotype: mouse monoclonal antibody
Cellular localization: cytoplasm
Adaptive tissue: paraffin/frozen
Positive control: Salivary gland
Antibody incubation time: 30-60min
Antigen repair: Heat repair (EDTA)
GCDFP-15 is a 15 kD single-chain protein commonly found in the vesicular fluid of cystic vesicle disease.GCDFP-15 is a highly specific and sensitive breast cancer marker, positively expressed in 50% to 60% of primary breast cancers.In combination with CK7 and CK20, it can be used to identify primary (positively expressed) or secondary extra-mammary Paget's (Paget) disease (negatively expressed).
The GCDFP-15 antibody reagent specifically binds to the GCDFP-15 molecular antigen. The immunohistochemistry kit containing the GCDFP-15 antibody reagent is suitable for the precise diagnosis of primary (positive expression) or secondary extramammary Paget's disease.