333646198385

333646198385
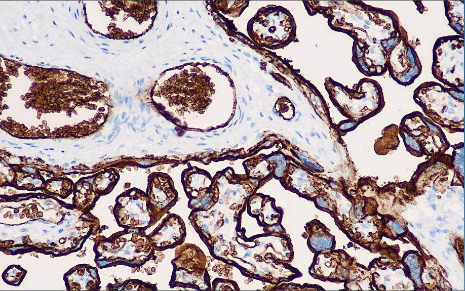
Clone number: IHC404
isotype: mouse monoclonal antibody
Cellular localization: cell membrane
Tissue: paraffin/frozen
Positive Control: Placenta
Antibody incubation time: 30-60min
Antigen repair: Heat repair (EDTA)
Glut1, or human erythrocyte glucose transporter, is a member of the Glut family. Its main function is to transport glucose into epithelial cells. It is expressed in tissues such as the colon, lungs, stomach, esophagus, and mammary glands.
GLUT1 antibody reagents can specifically bind to GLUT1 molecular antigens. Immunohistochemistry kits containing GLUT1 antibody reagents are suitable for the accurate diagnosis of reactive mesothelial hyperplasia (-) and malignant mesothelioma (+).