6651273407770

6651273407770
Clone number:
Isotype: mouse monoclonal antibody
Cellular localization: cytoplasm
Tissue: paraffin/frozen
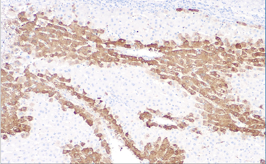
Positive control: Liver
Antibody incubation time: 30-60min
Antigen repair: Thermal repair (EDTA)
In mammalian livers, glutamine synthetase (GS) catalyzes the synthesis of glutamine from glutamate and ammonia. Glutamine, as the active product of GS, is the primary energy source for tumor cells. Studies on the development of liver cancer have found that GS-positive tumor cells are believed to originate from GS-positive hepatocytes. In normal livers, GS is primarily expressed in hepatocytes surrounding the portal vein, with minimal involvement of intermediate and peripheral cells. However, in hepatocellular carcinoma, most tumor cells exhibit diffuse expression of GS. In non-malignant liver cell lesions, such as degenerative nodules, the positive expression rate is below 50%, while in early-stage hepatocellular carcinoma and well-differentiated hepatocellular carcinoma, the positive expression rate exceeds 60%. Therefore, diffuse positive expression compared to negative or focal expression may indicate early-stage or well-differentiated hepatocellular carcinoma, while the latter may indicate liver degenerative nodular lesions.
Glutamine Synthetase antibody reagents can specifically bind to Glutamine Synthetase molecular antigens. Immunohistochemistry kits containing Glutamine Synthetase antibody reagents are suitable for the precise diagnosis of hepatocellular adenoma and liver cancer.