542979330627

542979330627
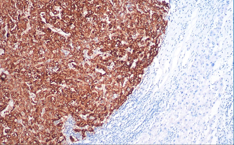
Clone number: 1G12
Isotype: mouse monoclonal antibody
Cellular localization: cytoplasm
Tissue: paraffin/frozen
Positive control: Liver cancer
Antibody incubation time: 30-60min
Antigen repair: Thermal repair (EDTA)
Glypican-3 is a heparan sulfate glycoprotein and a cancer embryonic antigen. The gene encoding this protein is located on Xq26. Overgrowth syndrome (Simpson-Golabi-Behmel syndrome) is associated with a deletion of this gene. Glypican-3 is expressed in embryonic liver, kidney, and lung tissues, as well as in the trophoblast layer of placental tissue. In tumor tissues, Glypican-3 expression is observed in hepatocellular carcinoma, yolk sac tumors, choriocarcinoma, and melanoma, but not in other tissues. Current literature recommends its use in combination with CD34 for research on benign and malignant hepatocellular tumors.
Glypican-3 antibody reagents can specifically bind to Glypican-3 molecular antigens. Immunohistochemistry kits containing Glypican-3 antibody reagents are suitable for the precise diagnosis of liver cancer, yolk sac tumors, choriocarcinoma, and melanoma.