7881548473913

7881548473913
Clone number: EP230
Homozygous: Rabbit Polyclonal Antibodies
Cellular localization: cytoplasmic
Adaptive tissue: paraffin/frozen
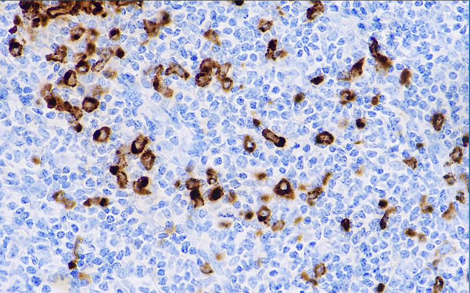
Positive control: spleen
Antibody incubation time: 30-60min
Antigen repair: Heat repair (EDTA)
Granzyme is a neutral serine protease stored in cytotoxic T lymphocytes and NK cells. Granzyme B has been found to be involved in target cell apoptosis induced by lymphocyte-mediated cytotoxicity. In tumors, granzyme B is located in R-S cells in EBV-positive Hodgkin's disease. This antibody is primarily used in the diagnosis of NK cell lymphoma and NK cell-like T lymphoblastic lymphoma.
Granzyme B antibody reagents can specifically bind to Granzyme B molecular antigens. Immunohistochemistry kits containing Granzyme B antibody reagents are suitable for the precise diagnosis of T-cell lymphoma and degenerative large cell lymphoma.