7031330440814

7031330440814
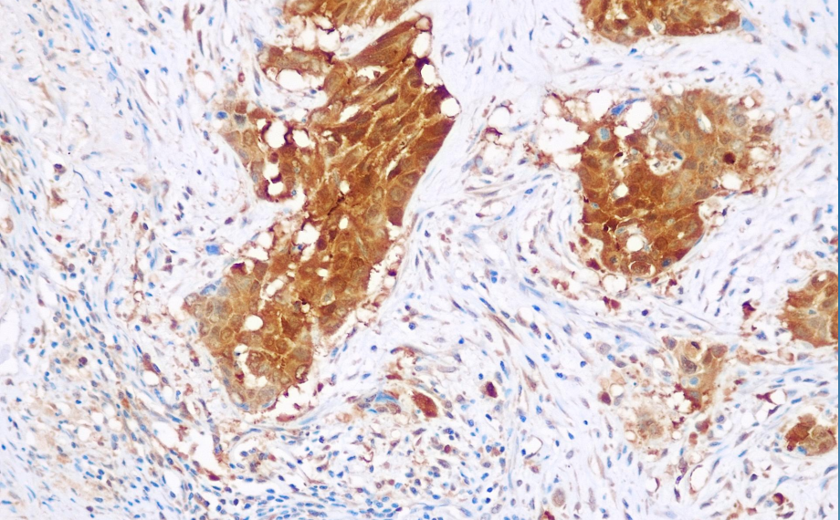
Clone number: LW29
Isotype: mouse monoclonal antibody IgG2a
Cellular localization: nucleus/plasmid
Tissue: paraffin/frozen
Positive control: Lung phosphor carcinoma
Antibody incubation time: 30-60min
Antigen repair: Heat repair (EDTA)
GST-π is a major isoenzyme within the GST family, distributed throughout various organs in the body, with higher concentrations in the liver and kidneys, and is associated with liver detoxification functions. It primarily catalyzes the reaction between GSH and electrophilic substances to form GS-X, which is then excreted outside the cell to achieve detoxification effects. GST-π is highly expressed in various tumors, and it is currently believed to be associated with tumor resistance to drugs such as doxorubicin, cisplatin, nitrogen mustard, cyclophosphamide, and tamoxifen. This antibody is primarily used for research into tumor cell resistance.
GSTπ antibody reagents can specifically bind to GSTπ molecular antigens. Immunohistochemistry kits containing GSTπ antibody reagents are suitable for assessing and predicting tumor chemotherapy resistance and platinum or multidrug resistance.