7501425539869

7501425539869
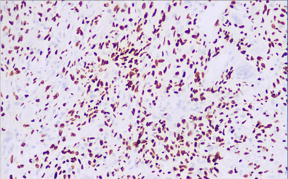
Clone number: RM263
Isotype: rabbit monoclonal antibody
Cellular localization: nucleus
Tissue: paraffin/frozen
Positive control: osteoblastoma
Antibody incubation time: 30-60min
Antigen repair: Heat repair (EDTA)
Giant cell tumor of bone (GCTB) is a locally aggressive joint tumor. Research has found that the expression rate of H3.3G34W in GCTB reaches 97.8%. The H3F3A (H3.3) gene mutation includes a glycine 34 substitution, with an incidence rate of up to 96% in GCTB, with most being the p.G34W mutation type, and only a few being G34L, V, or M mutation types. The H3.3G34W antibody exhibits high specificity and sensitivity toward tumors harboring such mutations, making it an highly effective GCTB biomarker.
The H3.3G34W antibody reagent specifically binds to the H3.3G34W molecular antigen. The immunohistochemistry kit containing the H3.3G34W antibody reagent is suitable for the precise diagnosis of giant cell tumor of bone (GCTB) and certain high-grade gliomas in children (such as H3.3G34 mutation types).