6841197440792

6841197440792
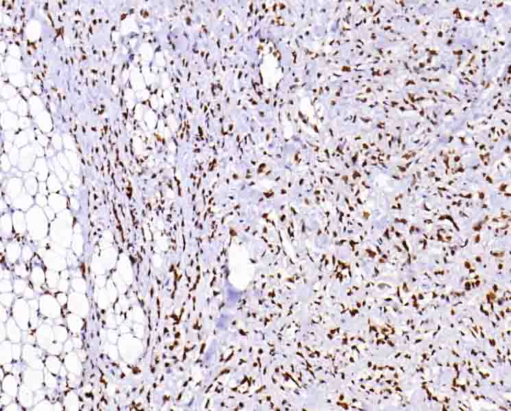
Clone number: RM192
isotype: rabbit monoclonal antibody
Cellular localization: nucleus
Tissue: paraffin section
Positive control:
Antibody incubation time:
Antigen Repair:
H3K27M is a mutation in the histone H3 gene that results in the substitution of lysine (K27) at position 27 by methionine (M).The H3K27M mutation results in the inability to trimethylate on lysine at position 27 of histone H3 (H3K27me3), and a significant reduction in the level of H3K27me3, which affects the transcriptional stability of the gene, thus causing or promoting the onset and progression of cancer. The H3K27M mutation is uniquely expressed in diffuse midline gliomas, most often in adolescent patients, and is a marker of malignancy, suggesting a poor prognosis.
The H3K27M antibody reagent specifically binds to the H3K27M molecular antigen. The immunohistochemistry kit containing the H3K27M antibody reagent is suitable for the precise diagnosis of diffuse midline glioma.