7511425506869

7511425506869
Clone number: RM193
Isotype: rabbit monoclonal antibody
Cellular localization: nucleus
Adaptive tissue: paraffin/frozen
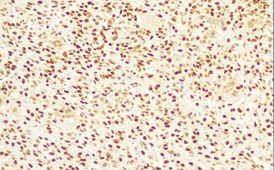
Positive control: Chondroblastoma
Antibody incubation time: 30-60min
Antigen repair: Heat repair (EDTA)
Chondroblastoma is composed of densely arranged chondroblasts, varying numbers of osteoclast-like giant cells, and calcified cartilage-like matrix. H3F3A and H3F3B are two genes encoding variants of histone H3.3. In 95% of chondroblastoma cases, a lysine 36 to methionine (K36M) mutation is present in either H3F3A or H3F3B, with the mutation primarily located in H3F3B. Studies have shown that immunohistochemical detection of the H3.3K36M mutant protein exhibits high specificity and sensitivity in chondroblastoma, with a sensitivity of 95.6% and specificity of 100%, making it highly valuable in clinical practice.
The H3K36M antibody reagent specifically binds to the H3K36M molecular antigen. The immunohistochemistry kit containing the H3K36M antibody reagent is suitable for the precise diagnosis of chondroblastoma.